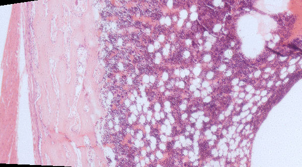
Beenontwikkeling
lengtesnit deur die kop van 'n konyn femur
Bone development
Section through the head of a rabbit femur
© augustus 2007 marius loots