back
Fig 11-002
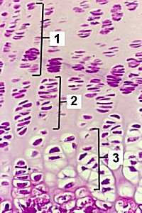
A magnification of a section through the metaphysis of the epiphysial plate of a long bone demonstrating the upper middle functional and morphological stages of the six of endochondral bone development.
1. Proliferation zone
2. Maturation zone
3. Calcification zone
back


© desember mm marius loots