back
Fig 11-003
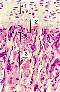
A magnification of a section through the metaphysis of the epiphysial plate of a long bone demonstrating the bottom middle functional and morphological stages of the six of endochondral bone development.
1. Maturation zone
2. Calcification zone
3. Ossification zone
back


© desember mm marius loots