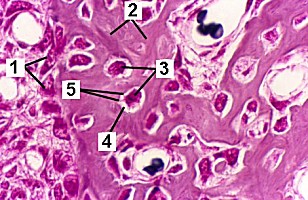
Fig 11-005
A magnification through a section of developing bone demonstrating the structure and location of osteocytes.
1. Osteoblasts
2. Deposited bone matrix
3. Osteocytes
4. Lacuna
5. Cytoplasmic processes of osteocyte
© desember mm marius loots