back
Fig 11-008
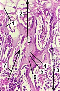
A magnification of a section through the metaphysis of the epiphysial plate of a long bone demonstrating the bottom functional and morphological stages of the six of endochondral bone development.
1. Cartilage trabeculae
2. Ossification zone
3. Resorption zone
4. Basophilic stained cartilage trabecula
5. Osteocytes
6. Eosinophylic stained newly deposited bone
7. In growing blood vessel
back


© desember mm marius loots