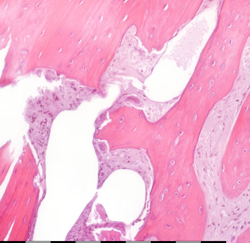
Medium magnification of immature bone
Lakuna in resorpsie sone / Eroded lacuna Osteosiete / Osteocytes Osteoblaste / Osteoblasts Endosteale selle / Endosteal cells Groeilyne / Growth reversal lines Howship lakunae / Howship lacunae Osteoklaste / Osteoclasts
Date: 17 September 2009
© september 2009 marius loots