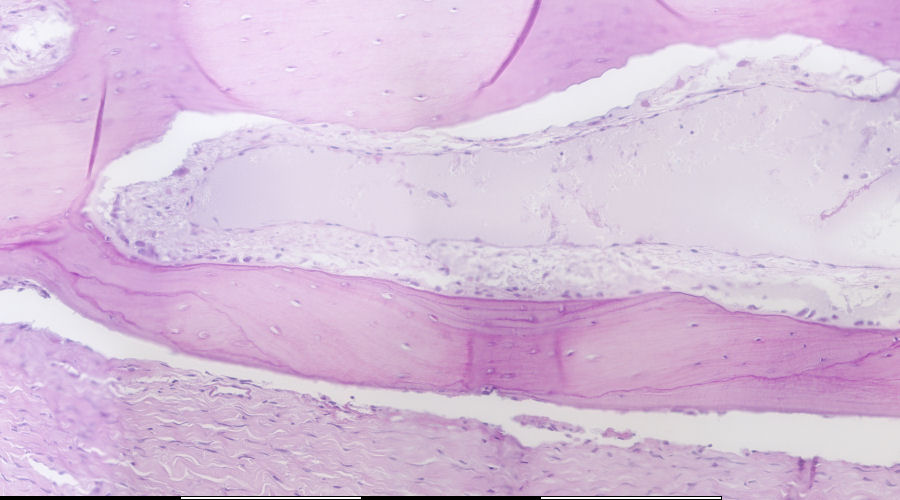
Bone-remodeling unit
Groeilyne / Growth reversal lines Osteoklast / Osteoclast Osteoblaste / Osteoblasts
Date: 17 September 2009
© september 2009 marius loots