back
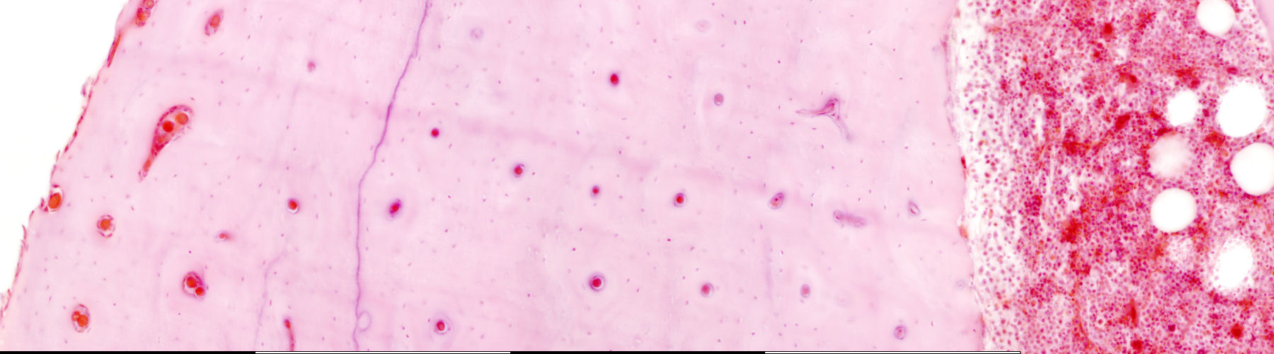
Cross section of decalcified bone
Help Help space Overview Help Help Histoweb

Date: 4 Augustus 2009

back

X   Y

Scale bar: No of bars: Scale Point A : Scale Point B :
Length A to B - Point A: : Point B: :

© september 2009 marius loots