back
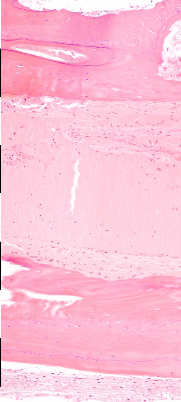
Medium magnification of immature bone from the vault
Overview Help Help Histoweb

Date: 18 September 2009

back

X   Y

Scale bar: No of bars: Scale Point A : Scale Point B :
Length A to B - Point A: : Point B: :

© oktober 2009 marius loots