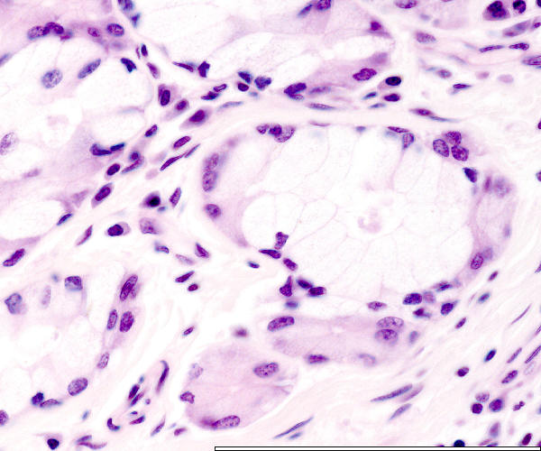
Faringeale buis: kliere
Pharyngeal tube: glands
Lumen
Musineuse sekretoriese eenheid /
Mucinous secretory unit
Sereuse sekretoriese eenheid /
Serous secretory unit
Sereuse halfmaan /
Serous demilune
X
Y
Scale bar:
red
white/black
blue
No of bars:
Scale Point A
:
Scale Point B
:
Length A to B - Point A:
:
Point B:
:
© mei 2007 - augustus 2008 marius loots