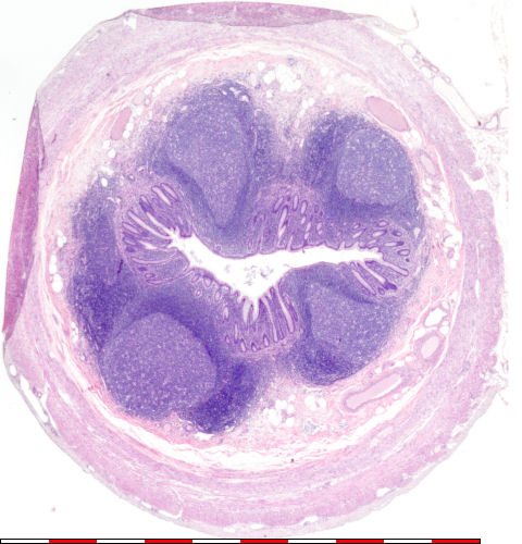
Appendix vermiformis
Lumen Mukosa / Mucosa Submukosa / Submucosa Muscularis externa Serosa Limfoiede weefsel / Lymphoid tissue Germinatiewe sentra / Germinal center Eenvoudige tubuleuse kliere / Simple tubular glands
Date: 28 Oktober 2008
© september 2009 marius loots