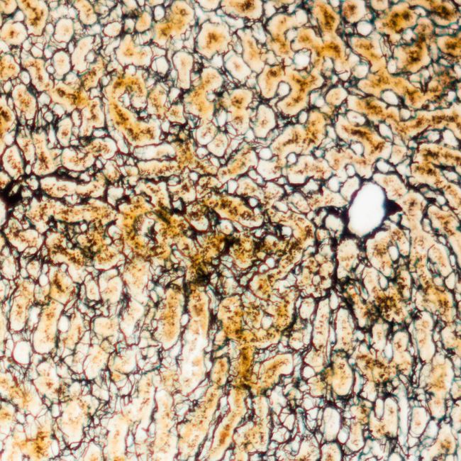
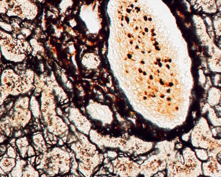
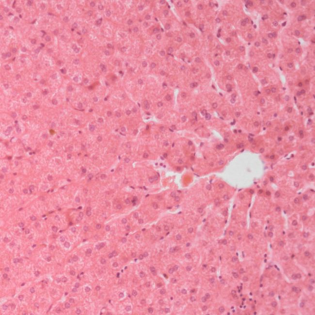
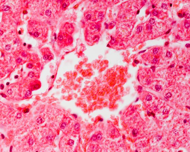
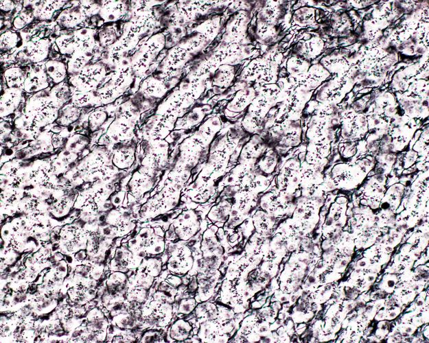
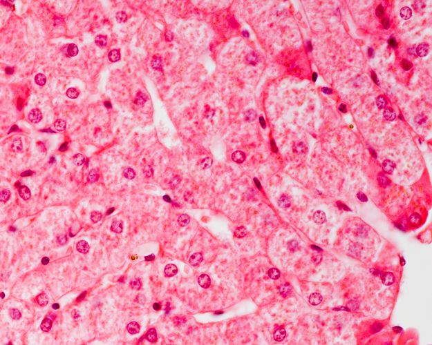
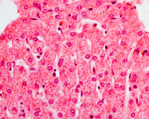
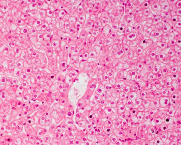
A selection of slides stained with haematoxillin and silver respectively is presented on this page. Compare the location of the extracellular reticular fibres with the location of the nuclei of the liver parenchyme. Several magnitudes of magnification are available, progressing from low at the top of the page to high at the bottom. The regions around the central vein and portal triad can also be compared.