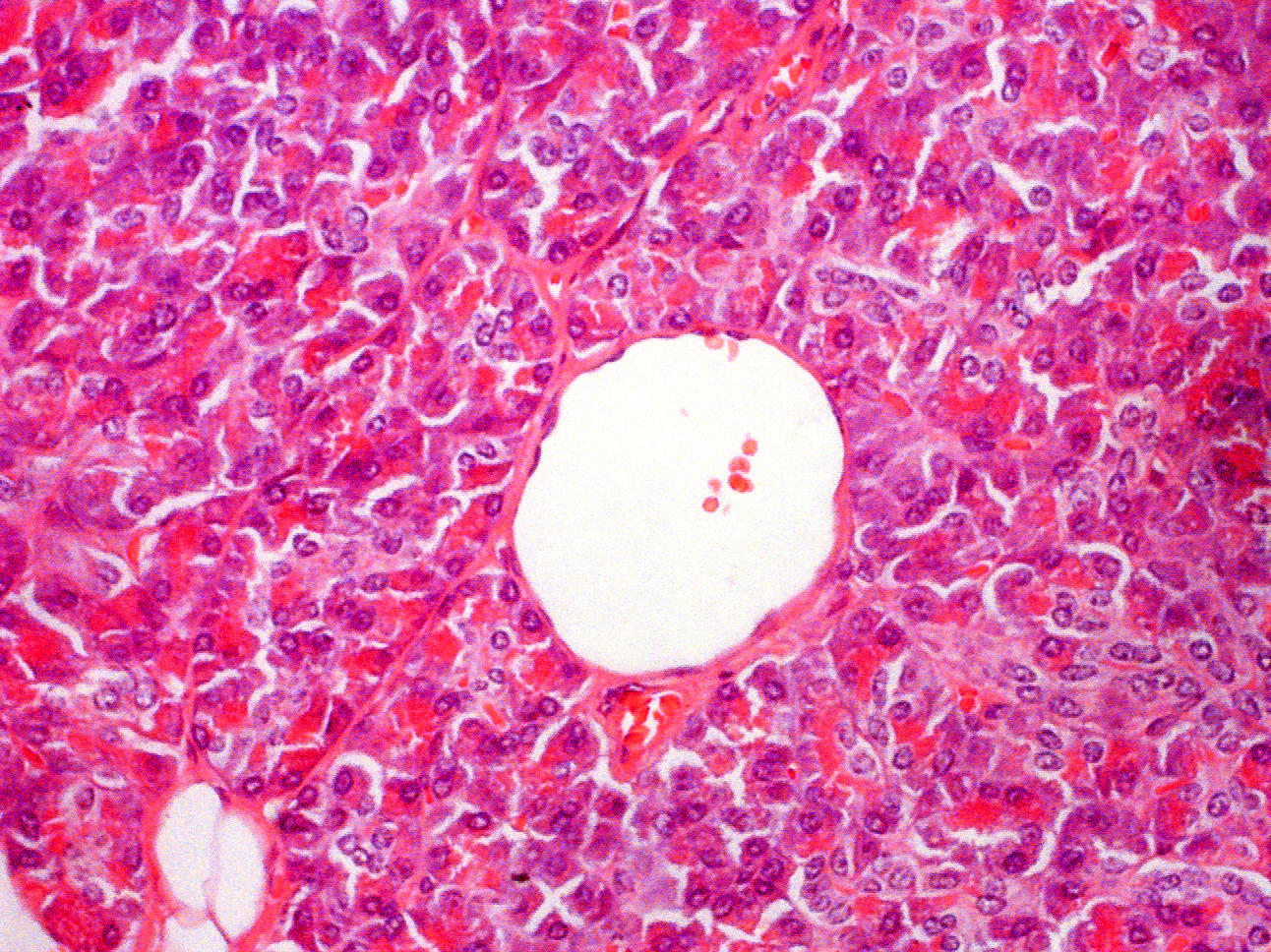
Small blood vessel vs Fat cells

back

Blood vessel are lined with endothelium. Several squamous cell nuclei line the lumen of the blood vessel. In this capillary, several red blood cells are also present in the lumen. This is not always the case. A very thin intimal layer can be seen. Compare the tissue slide with the drawing of a small artery and vein below.

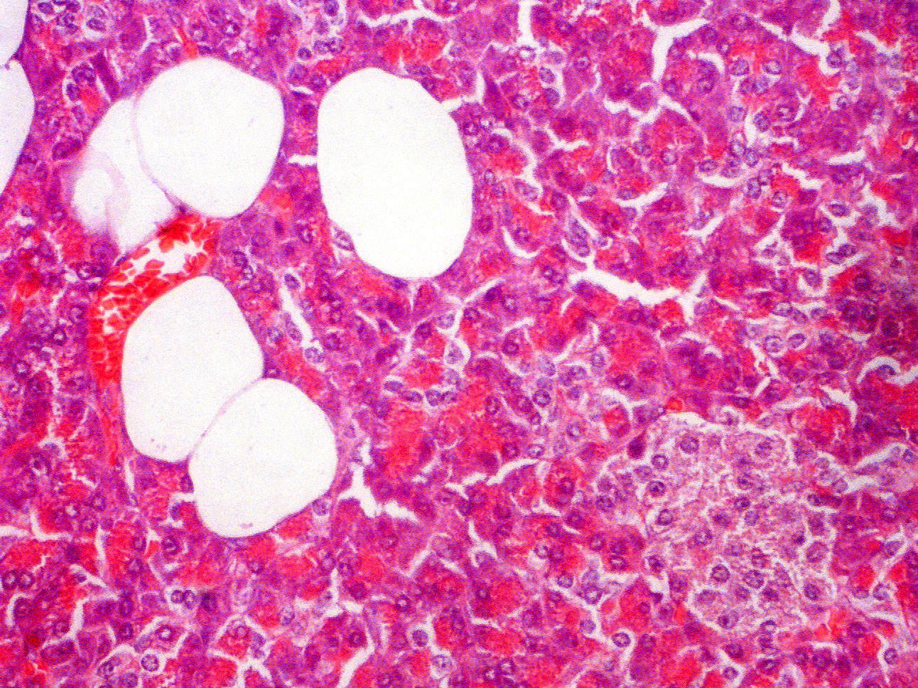
A fat cell has a single nucleus placed eccentrically in the cell. No other nuclei are visible. No intimal layer is visible around the fat globule that comprises the bulk of the cell. Fat cells border each other or are directly in contact with surrounding tissues without the layers seen in blood vessels.

Histology of a small blood vessel in the pancreas

back
Image 1: Pancreas
Small blood vessel in the exocrine pancreas.
Image 2
Transverse section through a small artery and vein of the mucous membrane of the epiglottis of a child. X 350. (Klein and Noble Smith.)

A. Artery, showing nucleated endothelium, e, which lines it; the vessel being contracted, the endothelial cells appear very thick. Underneath the endothelium is the wavy elastic lamina. The chief part of the wall of the vessel is occupied by the circular muscle coat m; the rod-shaped nuclei of the muscle cells are well seen. Outside this is a, part of the adventitia. This is composed of bundles of connective tissue fibers, shown in section, with the nuclei of the connective tissue corpuscles. The adventitia gradually merges into the surrounding connective tissue. V. Vein showing a thin endothelial membrane, e, raised accidentally from the intima, which on account of its delicacy is seen as a mere line on the media m. This latter is composed of a few circular unstriped muscle cells a. The adventitia, similar in structure to that of an artery.

back
Source: Self
Author: Marius Loots
Licence: Copyright


© september 2018 marius loots