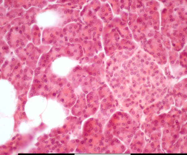
High magnification of the pancreas
Lumen / Lumen Kern van sentro-asinêre sel / Nucleus of centro-acinar cell Asinus / Acinus Apikale asidofiliese sitoplasma / Apical acidophilic cytoplasm Basofiliese basale sitoplasma / Basophilic basal cytoplasm Eiland van Langerhans / Islet of Langerhans A-selle / A cells Vetselle / Fat cells