| Fig 50-003 | |
|---|---|
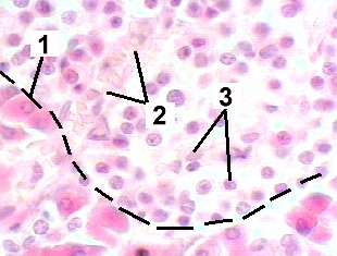
| This is a very high magnification of the pancreas demonstrating the fine structure of the Island of Langerhans, the endocrine pancreas. | |
|
1. Border between the exocrine and endocrine pancreas 2. Blood vessel with red blood cells visible 3. Island cells |
© mei mm marius loots