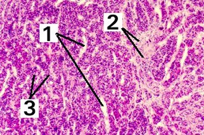
Fig 52-002
This is a low magnification of a section through the pars distalis demonstrating the different structures.
1. Sinusoids
2. Connective tissue
3. Groups of adenohypophysis cells
© januarie mmi - 202 marius loots