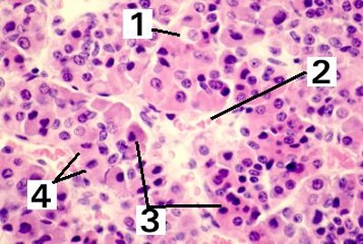
Fig 52-003
This is a higher magnification of a section through the pars distalis illustrating the different cell types.
1. Chromophobe
2. Blood vessel
3. Basophils
4. Acidophils
© januarie mmi - 202 marius loots