back
Fig 52-005
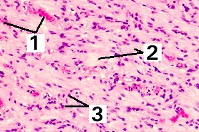
This is a low magnification of a section through the pars nervosa demonstrating the different structures.
Fig 52-005 1. Blood vessels
2. Nerve fibers
3. Pituicytes
back


© januarie mmi - 202 marius loots