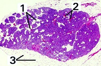
Fig 54-001
This is a very low magnification demonstrating a whole parathyroid gland.
1. Fat cells
2. Blood vessels
3. Connective tissue
© januarie mmi - 202 marius loots