back
Fig 54-002
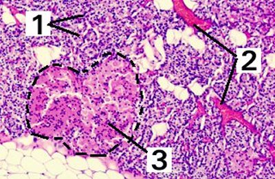
This is a low magnification of the structures of a parathyroid gland.
Fig 54-002 1. Chief cells
2. Blood cells
3. Oxyphils
back


© januarie mmi - 202 marius loots