back
Fig 54-003
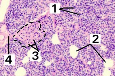
This is a higher magnification of a parathyroid gland demonstrating the difference between its two cell types.
Fig 54-003 1. Chief cells
2. Fat cells
3. Oxyphils
4. Connective tissue
back


© januarie mmi - 202 marius loots