back
Fig 56-001
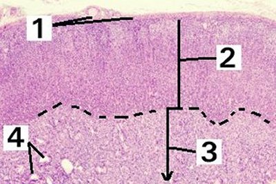
This is a very low magnification of the adrenal gland demonstrating the capsule and layers.
Fig 56-001 1. Capsule
2. Cortex
3. Medulla
4. Blood vessels
back


© februarie mmi marius loots