back
Fig 56-004
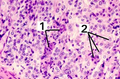
This is a high magnification of the medulla of the adrenal gland.
Fig 56-004 1. Ganglion cells
2. Chromaffin cells
back


© februarie mmi marius loots