back  

Thymus

   

Overview

Overview

Thymus (mindmap)

Workbook tasks

Slide 62: Thymus

H/E

This slide is a section through the thymus.

 

Identify microscopically:

  1. The capsule, septa, and incomplete lobules

  2. Cortex

  3. Medulla

  4. Hassall's corpuscles

 

Draw and annotate:

A diagram of the thymus.

 

Reflection:

  1. What type of connective tissue makes up the capsule?
  2. What are characteristic features of the cortex?
  3. What are characteristic features of the medulla?
  4. What are Hassall's corpuscles?
 

Slides

Microscope

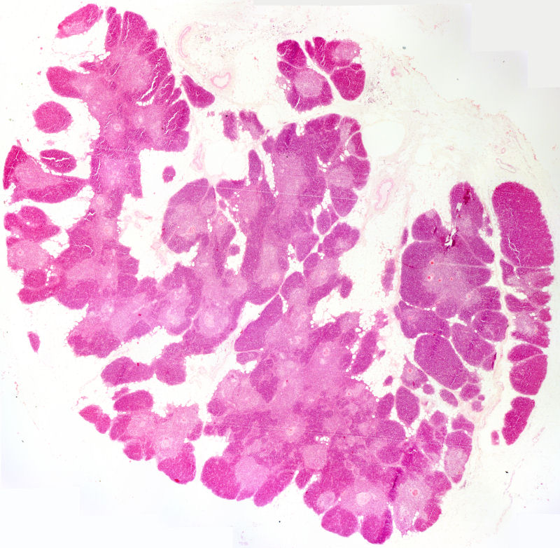
Thymus
Thymus
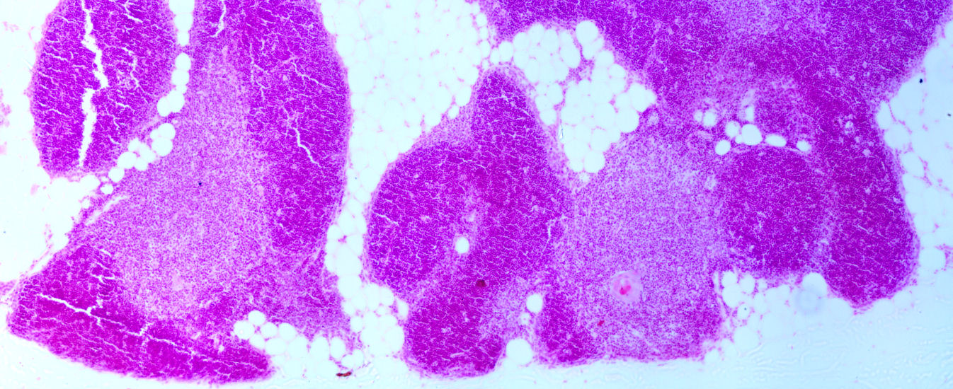
Higher magnification of the thymus
Detail of the thymus
Detail of the thymus
Detail of the thymus
Detail of the thymus
Detail of the thymus
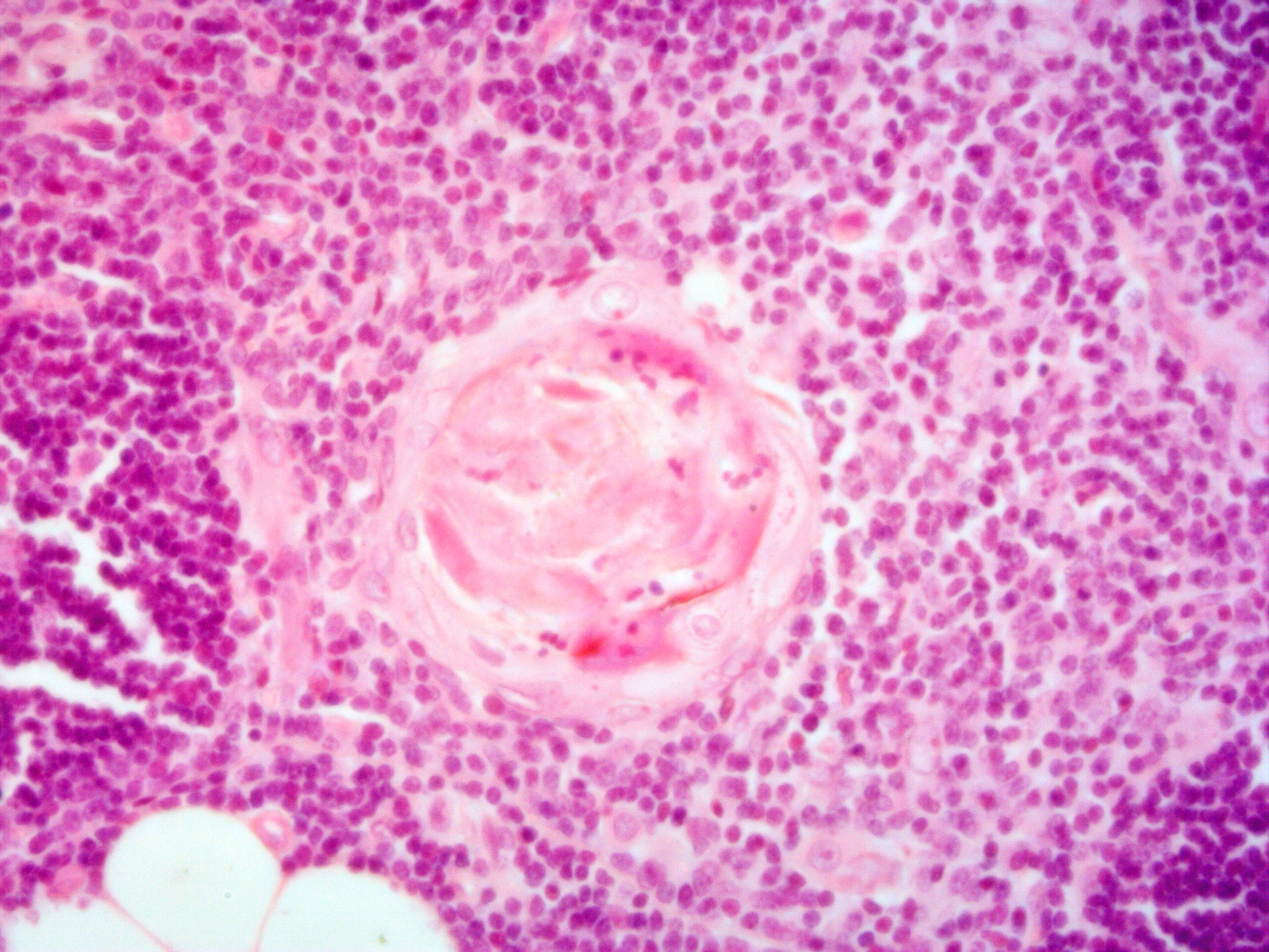
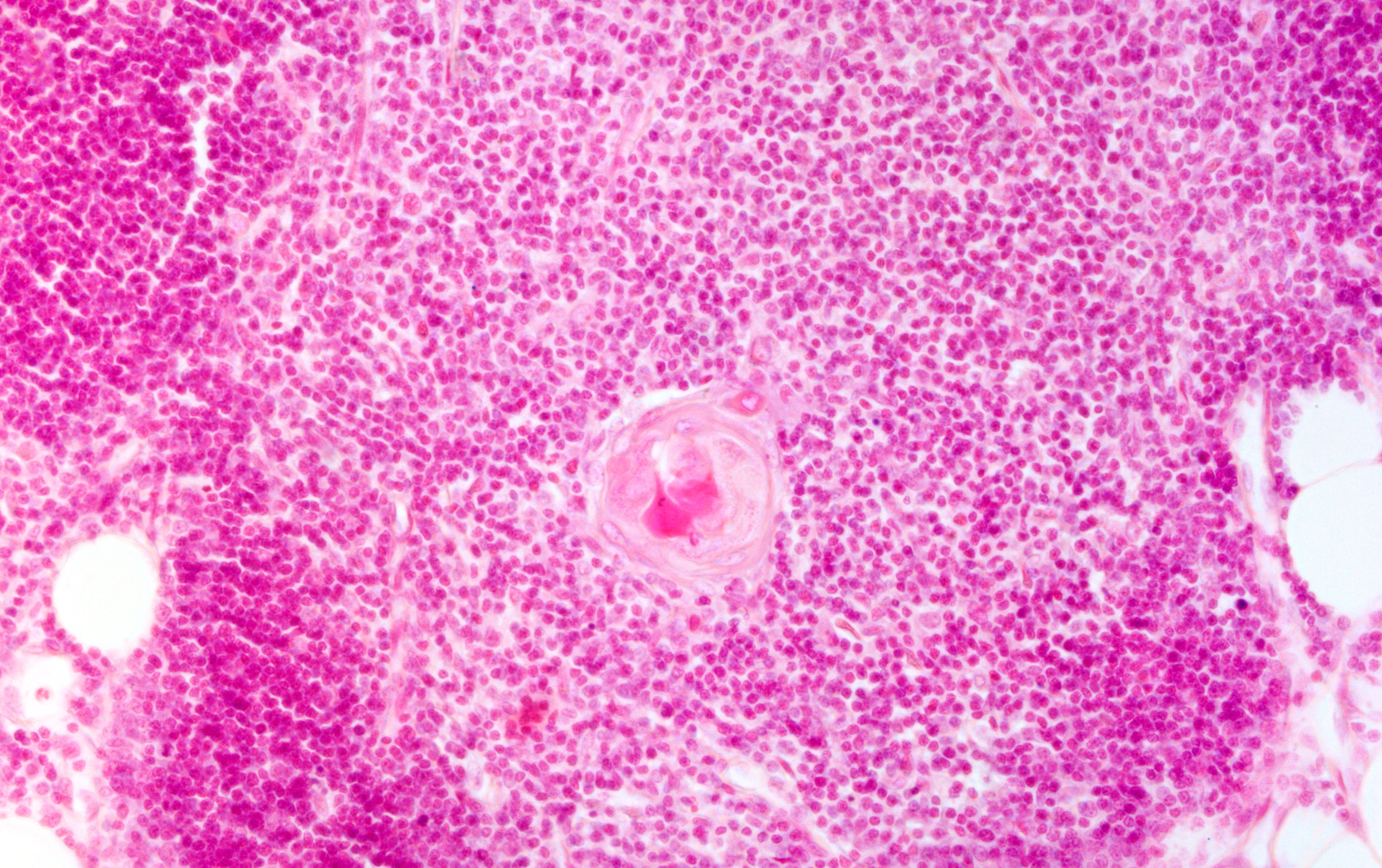
Thymic medulla with Hassal corpuscle
Detail of the thymus
Detail of the thymus
Detail of the thymus
Detail of the thymus
Detail of the thymus

Other (construction area)

Identify lymphocytes and epithelioreticulocytes.

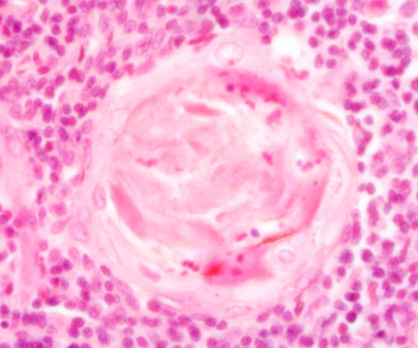
Hassall body 1 (click for large)

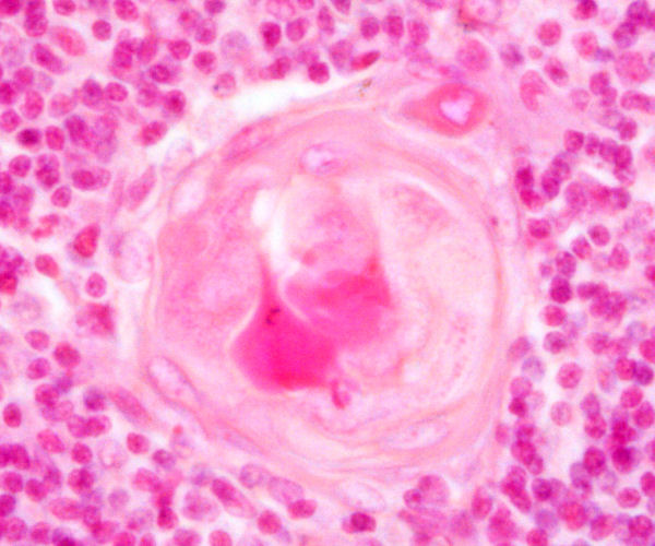
Hassall body 2 (click for large)

Drawing: Hassall body

Drawing: Blood barrier

The thymus 1

The thymus 2


Archive

back
© februarie 2008 marius loots