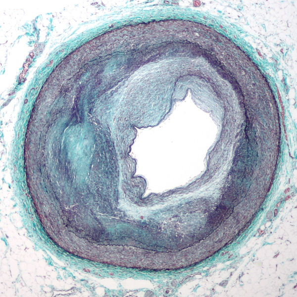
back distal right coronary artery with complex atherosclerosis
Arteries have three layers (tunica intima, tunica media and tunica adventitia):
  • Adventitia (outermost layer) = green fluffy material (collagen)
  • Media (middle (muscular) part) = red (smooth muscle actin)
  • Intima (inner part, in contact with the blood) = green (collagen) with some red (smooth muscle actin)
Features of atherosclerosis seen on the micrograph:
  • The tunica intima is severely thickened; it measures up to approximately 1/3 of a millimetre. Normally, it is one cell layer thick (approximately 10 micrometres).
  • There is fragmentation of the internal elastic lamina (a very thin black wavy layer) between the intima and media.
  • There is a partial duplication of the internal elastic lamina.
  • There is smooth muscle infiltration of the intima (from the media), i.e. red staining of the intima.
  • There is significant luminal narrowing. The section of the artery shown has only 25-35% of the cross-sectional area it once had; the artery's original lumen was approximately where the double layer of elastin is seen (the internal elastic lamina).
Help Histoweb

Source: RCA atherosclerosis.jpg
Author: Nephron
Licence: Creative Commons Attribution ShareAlike 3.0

back

X   Y

© januarie 2010 marius loots