back
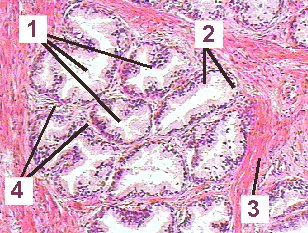
Fig 80-001
This is a higher magnification of the glandular tissue of the prostate.
Fig 80-001 1. Glandular alveoli
2. Pseudostratified columnar epithelium
3. Smooth muscle fibers
4. Loose connective tissue
back


© februarie mmi marius loots