back
Fig 85-003
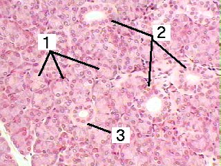
This is a higher magnification of the secretory unit and intra- and interlobular secretory ducts of the parotid.
Fig 85-003 1. Serous units
2. Ductus salivalis
3. Ductus intercalaris
back


© maart mm marius loots