Fig 88-005
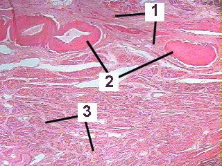
This is a low magnification of the uterus demonstrating the myometrium.
1. Connective tissue
2. Large arteries
3. Smooth muscle
© februarie mmi marius loots