back
Fig 105-001
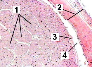
A low magnification of the optic nerve demonstrating the structures.
Fig 105-001 1. Myelinated optic nerve fibers arranged in bundles
2. Dura mater
3. Pia mater
4. Arachnoid
back


© julie mm marius loots