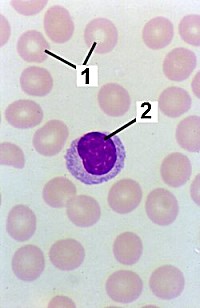
Fig 114-002
A magnification of a blood smear demonstrating monocytes.
1. Red blood cells (Erythrocytes)
2. Monocyte
© desember mm marius loots