|
|
The External Ear |
Auricle
|
| A very low magnification of the ear pinna. |
|---|
Fig 087-001 |
External Auditory Canal
|
Tympanic Membrane
|
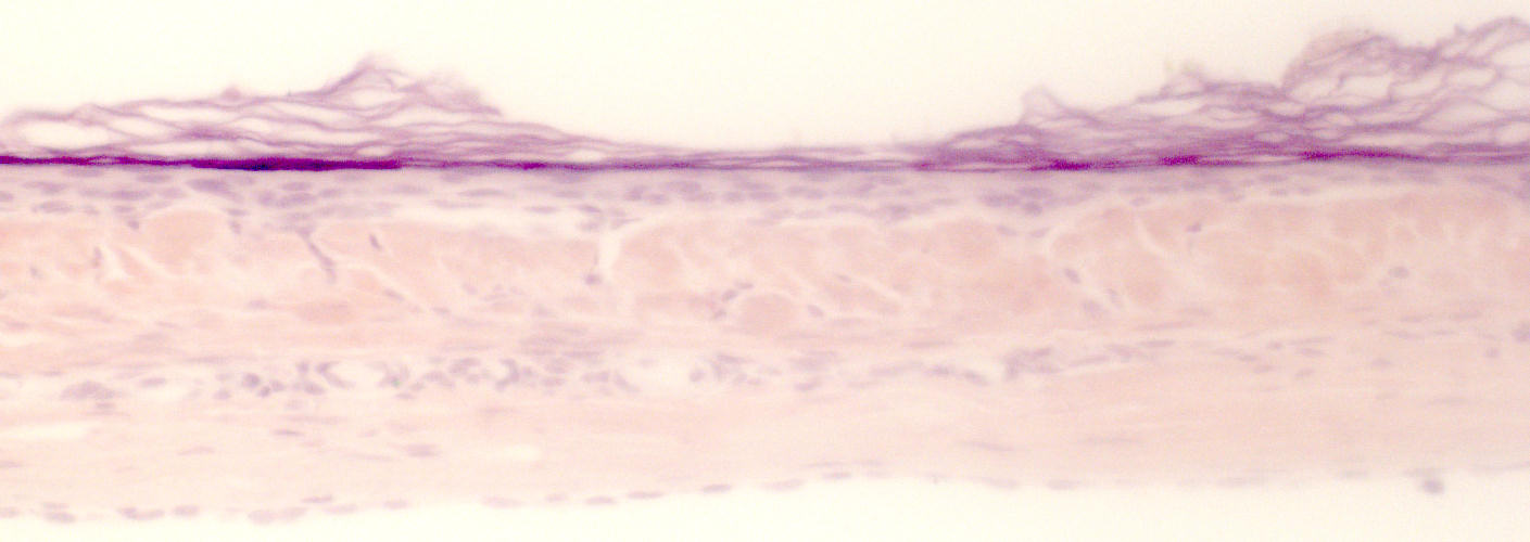
| Fig. 21.22 Tympanic membrane and ossicle | ||
|---|---|---|
|
||
|
M - inner mucous layer (cuboidal cells) C - outer cuticular layer (thin skin) F - intermediate fibrous layer Young and Heath p.397 |
||
| High magnification of the tympanic membrane: |
|---|
|