back  

Summary of structures of the epididymus

 

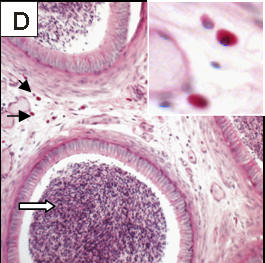
Ductuli efferentes

 
  • They are coiled and form part of the head of the epididymis
  • The lumens are wide and contain a large number of stored sperm
  • The epithelium appears to contain longitudinal folds due to alternating tall and low epithelial cells
  • The tall cells are ciliated
  • A small layer of circular arranged smooth muscle surrounds the epithelium
  • Loose connective tissue attaches the different coils of the tubules to one another

Ductus epididymis

  • This coiled duct forms the tail, body and part of the head of the epididymis
  • Connective tissue attaches the coils to one another
  • The tube is lined by non-ciliated pseudostratified columnar epithelium and long columnar epithelium with stereocilia
  • A thin layer of circular smooth muscle surrounds the epithelium
 
back


© oktober 2007 marius loots