back

The Cell

The basic structures common to all cells are illustrated in this electron micrograph of a liver cell.

Fig em-001
Fig EM001

  • Name all the organelles that can be found in a cell.
  • What is the fluid called that the cytoplasmic organelles are suspended in?
Wheater's Functional Histology p2-3 (3rd ed) or p4-5 (4th ed).

The Cell Membrane

All cells are membrane bound and in this micrograph three cell membranes are shown. This is a very high magnification of the cell membranes. No other organelles are present in this micrograph.

Fig em-002
Fig EM002

  • What are the 4 ways that exchange of molecules across the plasma membrane can take place?
  • Which is the process called that is responsible for transport of large molecules across the plasma membrane?
Wheater's Functional Histology p4-7 (3rd ed) or 6-9 (4th ed).

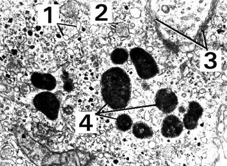
In the following micrograph which also deals with aspects of the cell membrane, identify the structures that are marked nos. 2 & 4:

Fig em-003
Fig EM003

  • What is the function of lysosomes?
  • What is the function of peroxisomes?
Wheater's Functional Histology p7-9 (3rd ed) or p18-21 (4th ed).

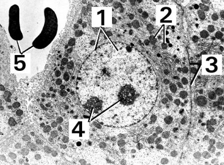
The Nucleus

The nucleus contains DNA, RNA and nucleoproteins. In this micrograph the different structures containing these components are illustrated.

Fig EM004
Fig EM004

  • What is the heterochromatin and where is it found in the nucleus?
  • What is euchromatin and where is it found in the nucleus?
  • What is a Barr body and where is it found in the nucleus?
Wheater's Functional Histology p10-11 (3rd ed) or p10-11 (4th ed)

This micrograph is again a section through the nucleus but has been tangentially sectioned i.e. cut obliquely so that certain structures such as the nuclear pores can be seen more clearly.

Fig EM005
Fig EM005
  • How do the nuclear pores appear in tangential section?
  • What does the small dot in the center represent?
Wheater's Functional Histology p10-11 (3rd ed) or p12 (4th ed)

Structures associated with protein and lipid synthesis

Proteins are a major part of structural components of the cell. Principle organelles involved with protein synthesis are the nucleus and ribosomes. In the following micrograph some of these structures are illustrated.

Fig EM006
Fig EM006

  • How would you describe the structure of rough endoplasmic reticulum and what is its function?
Wheater's Functional Histology p.12 (3e Ed) or p.14 (4e Ed)

The next micrograph illustrates another kind of endoplasmic reticulum. Identify the structures that are marked nos. 1 & 3:

Fig EM003
Fig EM003

  • What is the function of smooth endoplasmic reticulum?
  • How does the structure differ from rough endoplasmic reticulum?
Wheater's Functional Histology p13 (3rd ed) or 15 (4th ed)

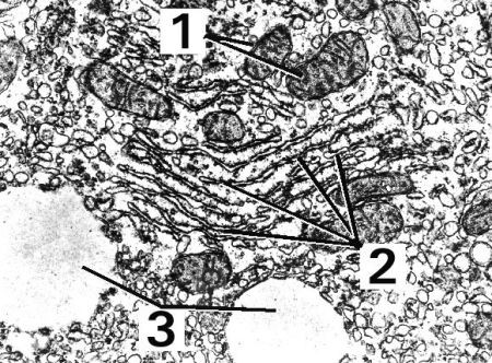
Structures that are associated with secretion

Within the compartmentalized cytoplasm various materials are transported around in the cell. A system exists in the cell that transports soluble and membrane proteins from the endoplasmic reticulum to the Golgi.

Fig EM007
Fig EM007

  • What are the main functions of the cis and trans faces of the Golgi stacks?
Wheater's Functional Histology p14-16 (3rd ed) or 16-17 (4th ed)

Structure associated with energy production and storage

Cellular functions depend on a continuous supply of energy. The mitochondria fulfil this function.

Fig EM008
Fig EM008

  • Name the 6 structures that are found in a mitochondrion.
Wheater's Functional Histology p17-19 (3rd ed) or 22-24 (4th ed)

Most cells generate and store glucose and fatty acids where they are used in one form or another such as cellular respiration (glycolysis). In this micrograph some of these structures are illustrated.

Fig EM009
Fig EM009

  • What is characteristic of lipid droplets as seen in the micrograph?
Wheater's Functional Histology p19 (3rd ed) or 25-26 (4th ed)

Structures associated with the cytoskeleton

All cells have a framework of filaments and tubules that supports the cell and is called the cytoskeleton. In cell division the cytoskeleton plays an important role in the formation of the spindles.

Fig EM010
Fig EM010

  • What is the centrosome?
  • What are the three main types of structural elements in cells?
Wheater's Functional Histology p20-24 (3rd ed) or 27-31 (4th ed)

Motile structures of the cell

Certain cells contain motile structures such as cilia or microvilli which beat in a wave-like rhythm moving mucus or fluid or particles in a specific direction. Cilia are demonstrated in the following micrograph.

Fig EM011
Fig EM011

  • What is the difference between a cilium and a microvillus?
Wheater's Functional Histology p86 (3rd ed) or 90-91 (4th ed)

Cilia are embedded into a structure called the basal body located adjacent to the cell membrane in the cytoplasm. This micrograph illustrates a cross section through a cilium.

Fig EM012
Fig EM012

  • What is the connection between the axoneme and the basal body?
  • How are the microtubules arranged in a cilium?
  • How does the microtubule arrangement differ between the cilium and the basal body?
Wheater's Functional Histology p86 (3rd ed) or 90-91 (4th ed)

The basement membrane

Basement membranes are sheet-like structures located between the supporting tissue (connective tissue) and epithelial, muscle or certain other cells types. In this micrograph the basement membrane and its different structures are illustrated.

Fig EM013
Fig EM013

  • What is the difference between the basal lamina and basement membrane?
Wheater's Functional Histology p64 (3rd ed) or 67-68 (4th ed)

back


Memorandum
Fig EM001 Fig EM002 Fig EM003 Fig EM004
Fig EM005 Fig EM006 Fig EM007 Fig EM008
Fig EM009 Fig EM010 Fig EM011 Fig EM012
Fig EM013      

back Top Start


© augustus mm marius loots