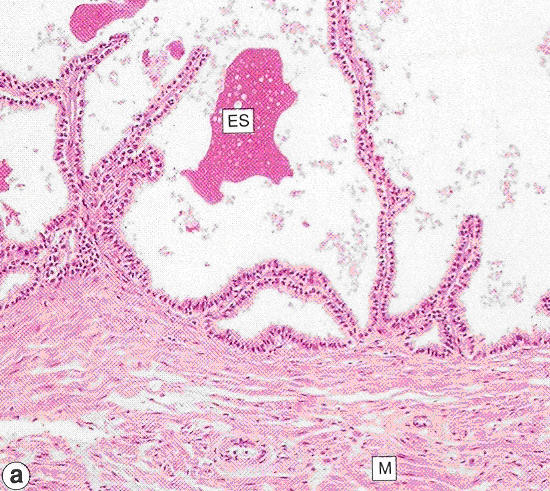
Vesicula seminalis
Seminal vesicle
M: Smooth muscle
ES: Eosinophilic secretion
Source: Stevens and Lowe Figure 17.14 (p. 315)
Licence: Copyrighted
© september 2007 marius loots