back
Dwarssnit deur die prostaat

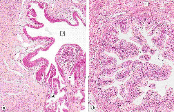
Cross section through the prostate

U - Urethra
M - Mucosal glands
S - Fibrocollagenous stroma
Source: Stevens and Lowe Fig 17.16 (p 316)

Licence: Copyrighted

back


© september 2007 marius loots