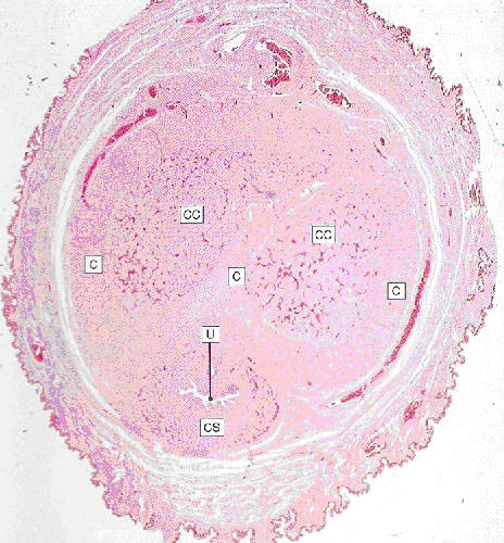
Dwarssnit deur die penis
Cross section through the penis
CC: Corpora cavernosa
CS: Corpus spongiosum
U: Urethra
C: Fibrocollagenous capsule
Source: Stevens and Lowe Fig 17.19 (p 318)
Licence: Copyrighted
© september 2007 marius loots