• esc key shows all the slides
  • arrows left right advance the slide
  • mobile device swipe left right
  • slides can go left-right and up-down
  • ? gives instant help
  • menu bottom left
How to get the most from the revision slides
  • Have a pen & paper ready
  • Answer every question
  • Mark your answer after answering
  • Elaborate on each answer
  • Add relevant clinical content
  • If you have trouble, ask

Kidney

And

Oral Cavity

Q13: Name 1 epithelium for each.

  • Kidney =
  • Liver =

Q13: Name 1 epithelium for each.

  • Kidney = cuboidal, squamous
  • Liver = squamous, cuboidal

Kidney

Slides 28 & 76

Kidney: Objectives

  • Basic anatomy of the kidney
  • Basic arrangement of nephrons and collecting tubules in the kidney
  • Structure of the nephron and collecting tubules
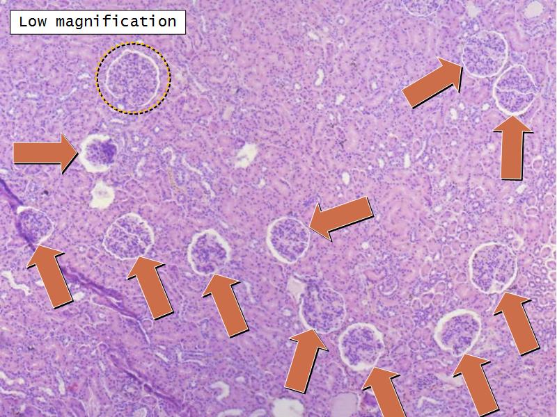
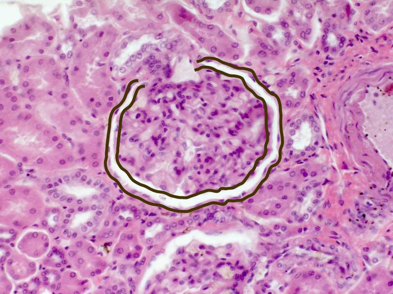
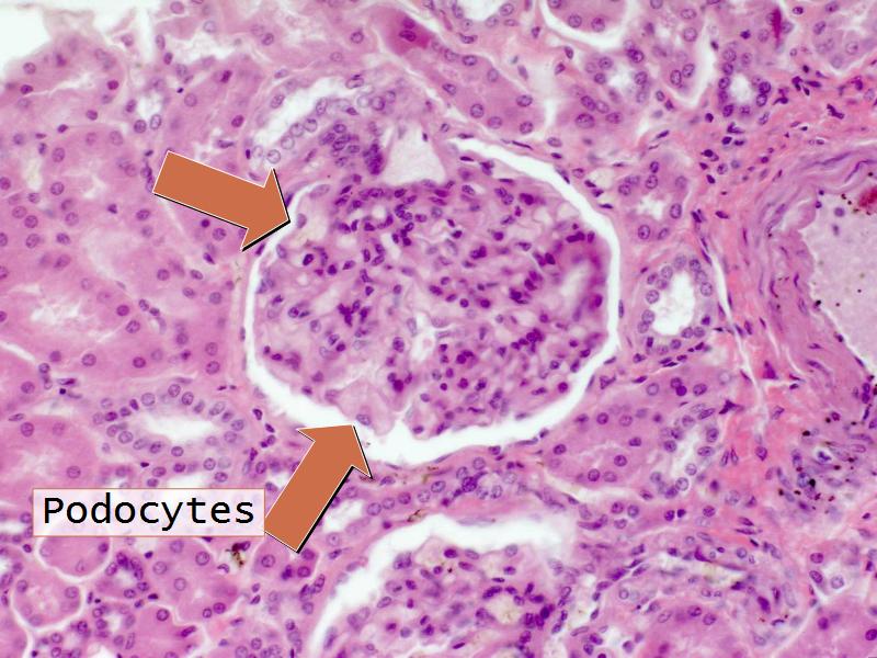
  • The renal corpuscle

Kidney: Tasks

  • Make an annotated drawing of the macroscopic view of the kidney.
  • Make an annotated diagram of a nephron, including the juxtaglomerular apparatus. Indicate the flow of blood and water in each part, and how solutes are filtered, secreted and reabsorbed.
  • Complete the drawings for each slide in the practical workbook.

Macroscopic

Anatomy

Of the

Kidney

Nephron

The End

Save Document

  1. Click the link above
  2. Print to PDF

Works best using Google Chrome
Others Browser YMMV