• esc key shows all the slides
  • arrows left right advance the slide
  • or click on the bottom right icons
  • mobile device swipe left right
  • ? gives instant help
How to get the most from the revision slides
  • Have a pen & paper ready
  • Answer every question
  • Mark your answer after answering
  • Elaborate on each answer
  • Add relevant clinical content
  • If you have trouble, ask

Glandular Epithelium

Two systems

  • Exocrine
  • Endocrine

Exocrine

  • Single cell
  • Simple
    • Alveolar
    • Tubular
  • Compound
    • Alveolar
    • Tubulo-alveolar
    • Tubular

Modes of Secretion

  • Merocrine
  • Apocrine
  • Holocrine

Slide 42 - Colon

Goblet cells

Simple tubular glands

Secretory units

Mucinous

Serous

Secretory units

  • Serous
  • Protein
  • Sticky
  • Dark stained
  • Mucinous
  • Mucin
  • Watery
  • Light stained
  • Mixed
  • Both types
  • Demi-lunes

Slide 7 - Tongue

Mucinous

Serous demilunes

Slide 39 - Pharyngeal tube

Mucinous

Serous demilunes

Endocrine

  • Follicles
  • Cords
  • Groups
  • Islands

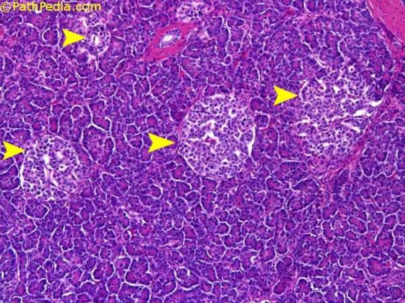
Slide 50 - Pancreas

  • Exocrine + Endocrine
  • Acinar / Tubulo-acinar
  • Simple epithelium of pyramidal serous cells
  • Basal basophilia
  • Duct starts inside acinus
  • Centro-acinar cells
  • Endocrine islands

Slide 52 - Pituitary gland

Groups

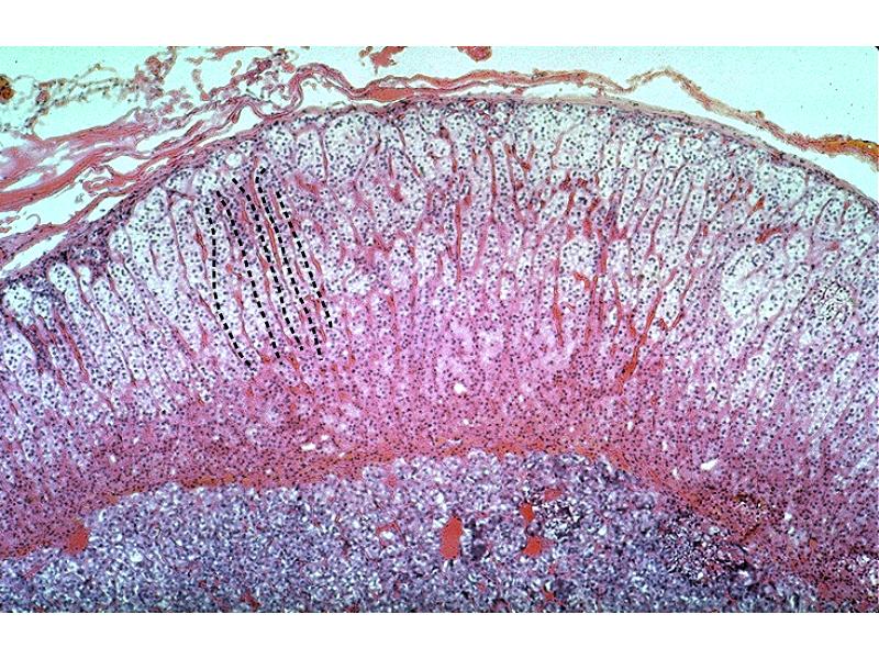
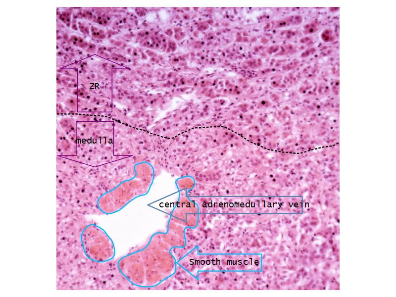
Slide 56 - Adrenal glands

Cords

Slide 55 - Thyroid gland

Follicles

Glandular Epithelium

  • Slides
  • Exocrine
  • 42
  • 50
  • 39 or 7
  • Endocrine
  • 50, 52
  • 56 & 55

The End

Save Document

  1. Click the link above
  2. Print to PDF

Works best using Google Chrome
Others Browser YMMV