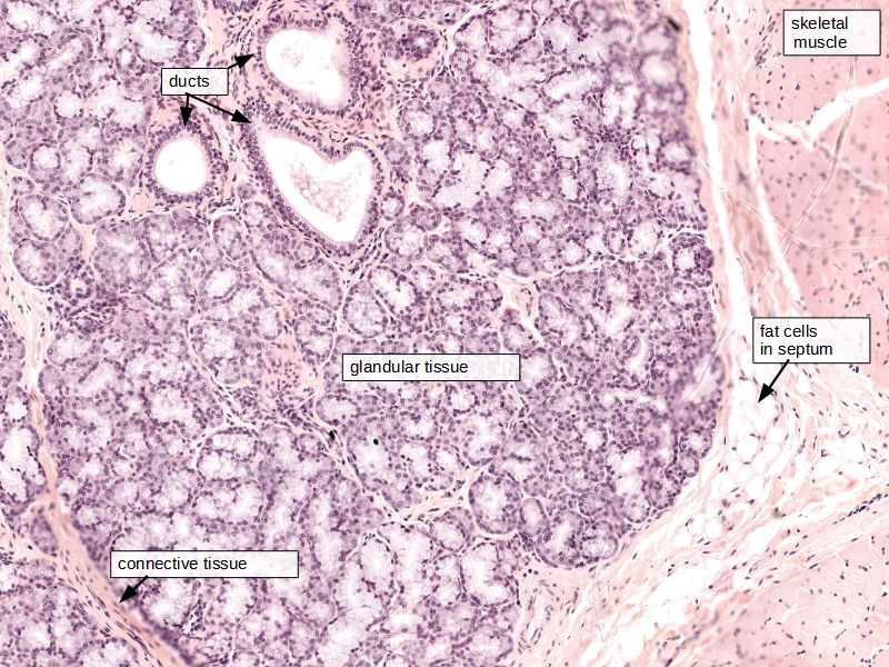
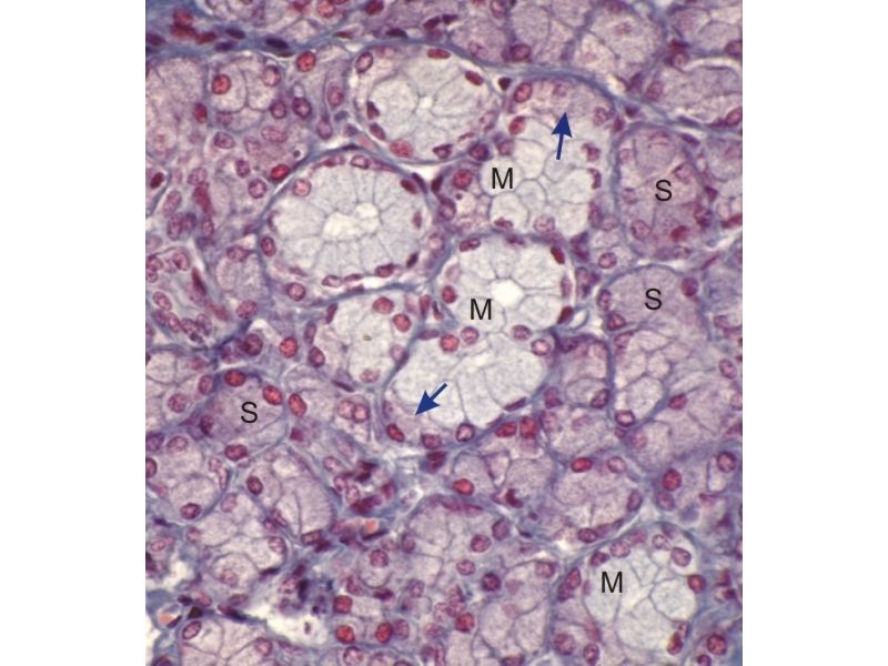
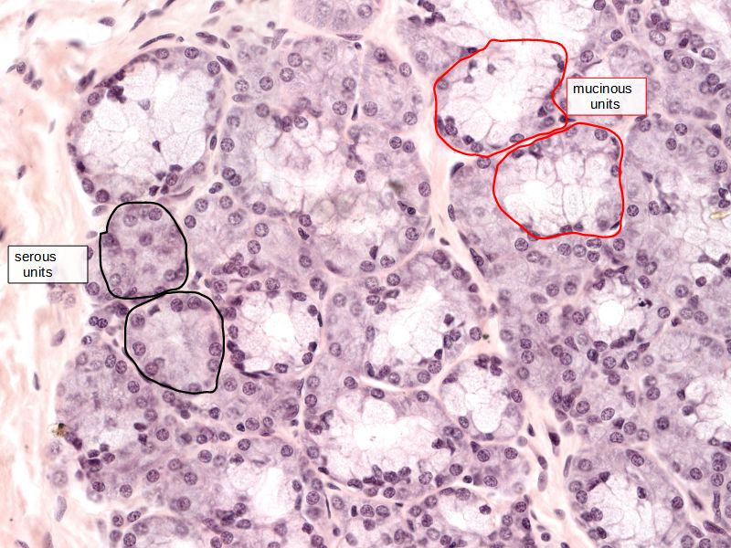
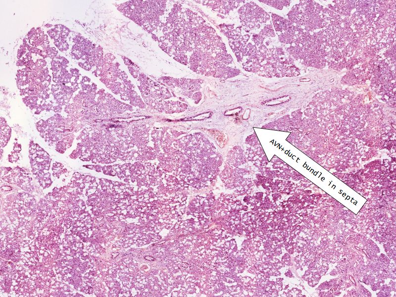
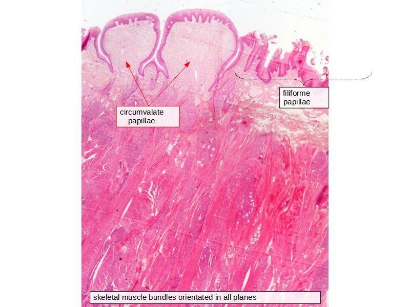
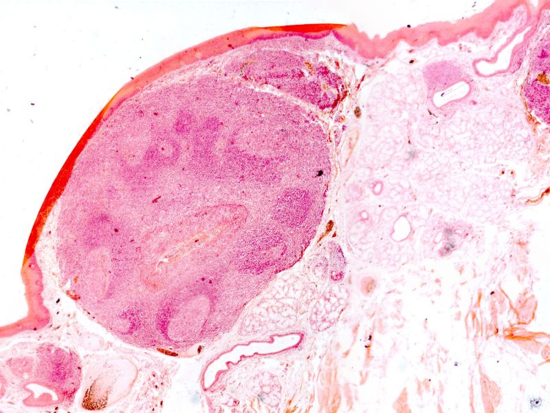
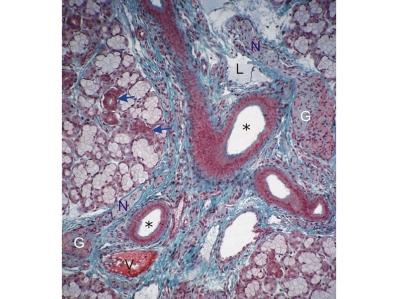
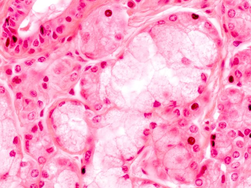
Oral Cavity

dentist
  • esc key shows all the slides
  • arrows left right advance the slide
  • or click on the bottom right icons
  • mobile device swipe left right
  • ? gives instant help
How to get the most from the revision slides
  • Have a pen & paper ready
  • Answer every question
  • Mark your answer after answering
  • Elaborate on each answer
  • Add relevant clinical content
  • If you have trouble, ask

The End

Save Document

  1. Click the link above
  2. Print to PDF

Works best using Google Chrome
Others Browser YMMV