Respiratory System

Help

  • esc key shows all the slides
  • arrows left right advance the slide
  • mobile device swipe left right
  • slides can go left-right and up-down
  • ? gives instant help
  • menu bottom left
To save as PDF, see last slide.
How to get the most from the revision slides
  • Have a pen & paper ready
  • Answer every question
  • Attempt to label all slides
  • Mark your answer after answering
  • Elaborate on each answer
  • Add relevant clinical content
  • If you have trouble, ask - you know where

Calibration

Community of Truth

What is my answer?
What is the correct answer?
I am am wrong, what was my error?
THUS: Find the truth

Philosophy 1

What is the least amount of work I can do so I can get out of here.

Philosophy 2

Today and Now I will do something for my future self.

Reflection

  • Is this a good reflection of your knowledge?
  • Did you improve on your previous attempt?
  • What sections do you need to spend some extra time on?
  • Do you need clarification for any specific section?

Concepts

Transitions

External nose > Alveolus
Transitions and Barriers
  • Keep dust and pathogens out
  • Let clean air in
    • Stay open - do not block air
    • Exand and contract = breath
  • Make gas exchange possible
Revision exercise.

Elaborate using anatomy and physiology.

Go with the flow

Trace the air flow of respiratory system starting with the nostrils.

What path does a molecule of oxygen take to reach the blood?

What sights will it see along the way?

1. Outside air

2. ??

3. ...

4. Toes

The cardiovascular system needs to be connected to the respiratory system.

Path of O2 and CO2

  • List complete
  • With layers
  • And cells
  • And function of each
  • Make use of annotated drawings and diagrams

What cells are present?

Components of the Blood-Air Barrier?

What other barrier systems are found in the body?

What are the purpose of each of these barrier systems? Connected with physiology will unlock the pathology.

Barriers

  • Skin
  • Blood-air
  • Blood-brain
  • Blood-retina
  • Blood-thymus
  • Blood-testis
  • Placental barrier

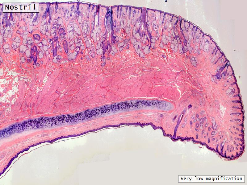
Function of the nasal cavity?

Function of the nasal cavity?

  • Warm
  • Moisture
  • Filter
  • Smell

Slides: Respiratory System

  • Slide 71: Nostril
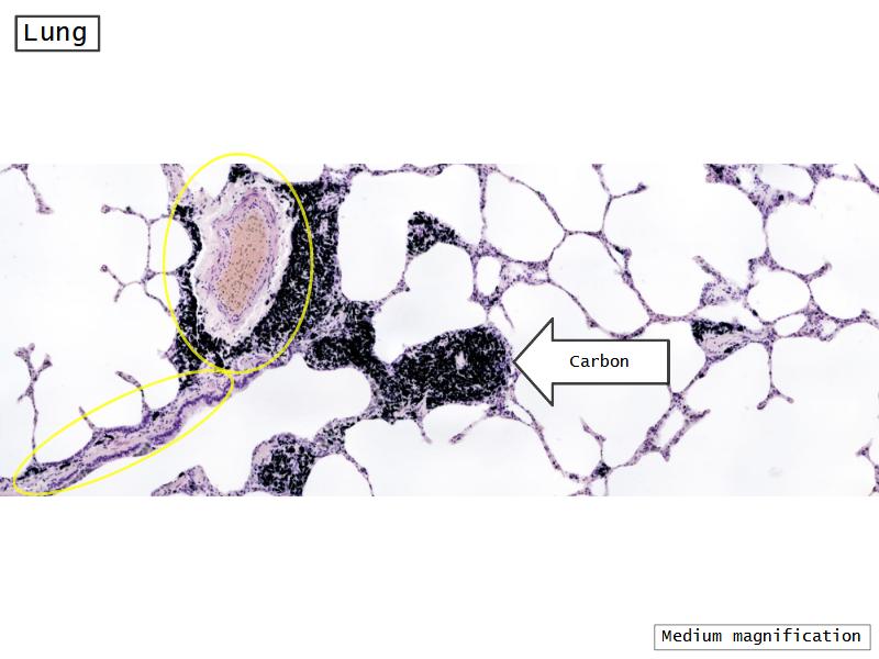
  • Slide 72 & 74: Lung
  • Slide 73: Trachea
  • Slide 108: Olfactory epithelium
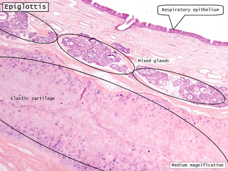
  • Slide 111: Epiglottis

Nostril

Name three types of contractile cells.

Olfactory epithelium

Epiglottis

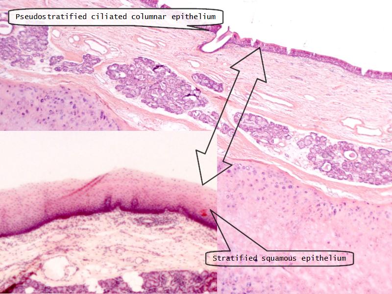
Respiratory epithelium

  • Pseudostratified
  • Ciliated
  • Columnar
  • Epithelium with
  • 4 Cells
    • Ciliated columnar cells
    • Non-ciliated columnar cells
    • Goblet cells
    • Basal cells

Trachea

Bronchi - Transitions

  • Intrapulmonary bronchi
    • Irregular cartilage
    • Respiratory epithelium
    • Glands
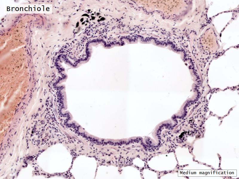
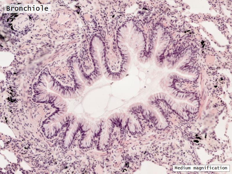
  • Bronchioles
    • Smooth muscle REPLACE cartilage
    • Ciliated columnar > Ciliated cuboidal
    • NO glands - goblet cells -> secretory cells
  • Terminal bronchioles
    • Smooth muscle
    • Ciliated cuboidal epithelium
    • Secretory cells
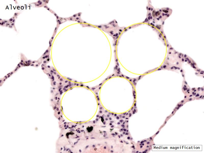
  • Respiratory bronchioles
    • Conducting -> Respiratory
    • Simple cuboidal epithelium
    • Secretory cells
    • Alveoli

Lungs

Clara cells

Bronchiolar Exocrine Cells

Read more about the use of eponyms.

The End

Save Document

  1. Click the link above
  2. Print to PDF

Works best using Google Chrome
Others Browser YMMV