• esc key shows all the slides
  • arrows left right advance the slide
  • or click on the bottom right icons
  • mobile device swipe left right
  • ? gives instant help
Lymphoid system
Liver
Urinary system
Respiratory system
Skin
How to get the most from the revision slides
  • Have a pen & paper ready
  • Answer every question
  • Mark your answer after answering
  • Elaborate on each answer
  • Add relevant clinical content
  • If you have trouble, ask
If you don't try to improve what you do, how are you ever going to know what you can become? Don't be complacent. Strive to get better every day, including today.
Adam Virgile
Pathological Conditions
and
Infectious Diseases

Your patient?

Why Barriers?

Making Sense

Systematically

for

Retention

Understanding

Long Term

Objectives

What you need to know

Tasks

Exercises to reach the objectives

Dissecting the slides

  • What am I looking at?
  • What can I identify?
  • What else looks like this?
  • Where is Up, Down, Inside, Outside?
  • What is the magnification?
  • Which items are larger/smaller?
  • What do I need to look up?
  • Can I add anything else?

Generic Approach

For all topics

Ask yourself:
  • Where is it?
  • What does it do?
  • How does it work?

Expand to make connections with:

  • Anatomy
  • Physiology
  • Pathology
  • Pharmacology

Feedback

As I receive questions, I will add some notes here to clarify. Go down to see the content.

VVVVvVVV

Arteries, veins and bile ducts

Arteries has small round lumens, with relatively thick walls. Veins has large irregular lumens, with relatively thin walls. Both have endothelium, but it bulges more in arteries. If you see distinct cuboidal epithelium, it is most likely a bile duct.

Portal vein vs Central vein

The portal vein is part of the portal triad. It has an associated artery and bile duct. The central vein has no other structures around it, and the endothelium is indistinct. You can most the times also see the sinusoids opening up into the central vein.
Lymphoid system Liver Kidney
Structures
Substances List all substances moving through the structure.
Paths List the path these substances take through the structure.
Slides Correlate with the microscopic structure.

Cells + Tissues

make

Organs

which contains

Structures

each having one or more

Functions

Liver Structure

3 Views of the Histology
What do we know about the liver?
Think in general...
Think about gross morphology as seen during dissection...
What do we know?
Stuff in
and
Stuff out...

What stuff?

...And using scholarly language
What do we know:
Blood in: Arterial and Venous
Blood out: Venous
Bile out
Blood in:
Arterial - from where?
Venous - from where?
Blood out:
Venous - going where?
Bile out going where
This background theoretical knowledge, can be used to compare with the histological views as seen on a slide.
What is located with the vena centralis?
What is with the vena centralis?
Arteries?
Veins?
Bile ducts?
Lymph vessels?
What is with the vena centralis?
Arteries - no
Veins - no
Bile ducts - no
Lymph vessels - no

Where do we find these structures?

What is with the vena centralis?
Arteries - no
Veins - no
Bile ducts - no
Lymph vessels - no

Where do we find these structures?
Portal triad contains these structures.

So what about the portal artery, vein and bile duct?
Let's add these to our diagram...

ps: there is a lymph vessel as well

Compare the central vein and portal triad...
What is the function of liver cells?
What is the function of liver cells?

Detoxification
Metabolism of nutrients
Production of bile

What is the function of liver cells?

Detoxification
Metabolism of nutrients
Production of bile

Where does bile production take place?
Where does the bile go to?

Blood flow

What happens
to blood
going
into the liver?

Blood flow

From hepatic artery and vein
Mix
Flow towards the central vein

Blood flow

What are the clinical implications of the histological morphology?

Traumatic events in the liver

Illustrate the damaged area of Liver acinus
Visible histologically
Caused By Various Agents / Diseases
  • Describe the mechanism
  • Identify and explain the area
  • Indicate zones of damage on a sketch
  • Correlate with slide

Lymphoid Tissue

New parchment

Sharpen those quills

Fire the neurons

Lymphoid system Liver Kidney
Structures
Substances List all substances moving through the structure.
Paths List the path these substances take through the structure.
Slides Correlate with the microscopic structure.
Lymphoid system
Primary
  • Bone marrow
  • Thymus
Secondary
  • Lymph nodes
  • Spleen
  • Nodules
  • MALT
  • BALT
Lymphoid system
Not all have a capsule

But all have Lymphoid follicles
etc

Lymphoid tissue
Tissue/Organ:
  • Lymph Nodule
  • Tonsils
  • Lymph Node
  • Thymus
  • Spleen
Structures:
  1. Capsule?
  2. Cortex-Medulla?
  3. Germinal Centers?
  4. Lobulation?
  5. Cells?
Lymph nodule
  1. Capsule = ?
  2. Cortex-Medulla = ?
  3. Germinal Centers?
  4. Primary = ?
  5. Secondary = ?
  6. Lobulation = ?
  7. Cells = ?
Lymph nodule
  1. Capsule = No
  2. Cortex-Medulla = ?
  3. Germinal Centers?
  4. Primary = ?
  5. Secondary = ?
  6. Lobulation = ?
  7. Cells = ?
Lymph nodule
  1. Capsule = No
  2. Cortex-Medulla = No
  3. Germinal Centers?
  4. Primary = ?
  5. Secondary = ?
  6. Lobulation = ?
  7. Cells = ?
Lymph nodule
  1. Capsule = No
  2. Cortex-Medulla = No
  3. Germinal Centers?
  4. Primary = No
  5. Secondary = ?
  6. Lobulation = ?
  7. Cells = ?
Lymph nodule
  1. Capsule = No
  2. Cortex-Medulla = No
  3. Germinal Centers?
  4. Primary = No
  5. Secondary = Yes
  6. Lobulation = ?
  7. Cells = ?
Lymph nodule
  1. Capsule = No
  2. Cortex-Medulla = No
  3. Germinal Centers?
  4. Primary = No
  5. Secondary = Yes
  6. Lobulation = No
  7. Cells = ?
Lymph nodule
  1. Capsule = No
  2. Cortex-Medulla = No
  3. Germinal Centers?
  4. Primary = No
  5. Secondary = Yes
  6. Lobulation = No
  7. Cells = B, T, Fibroblasts, Macrophages
Tonsils
  1. Capsule = Strat Sq Epithelium
  2. Cortex-Medulla = No
  3. Germinal Centers = Yes
  4. Lobulation = Infolding from SSE+CT
  5. Cells = M, B, T-cells
Thymus
  1. Capsule = Yes
  2. Cortex-Medulla = Yes
  3. Germinal Centers = No
  4. Lobulation = Cortex, Yes
  5. Cells = Epithelial, Hematopoietic, Accessory
Spleen
  1. Capsule = Yes + Serosa+Mesothelium
  2. Cortex-Medulla = No
  3. Germinal Centers = Yes
  4. Lobulation = No, CT trabeculae
  5. Cells = RBC, Platelets, T, B, macrophages

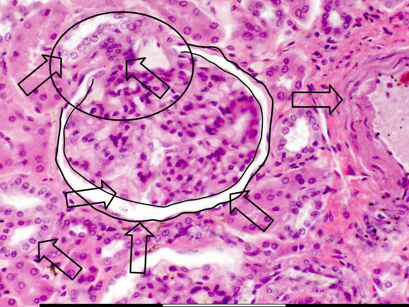
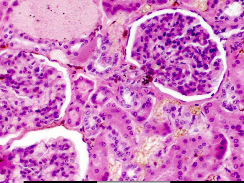
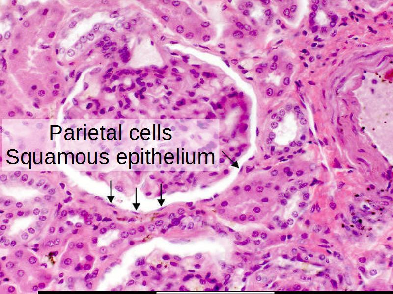
Kidney

Next A4 page

Kidney

  • Make a line diagram, using supplied labels.
  • Label the colour slides.
  • Annotate the two diagrams
  • Complete the diagram:
    • Events in each part of the nephron
    • Stimulate / Inhibit
Go with the flow
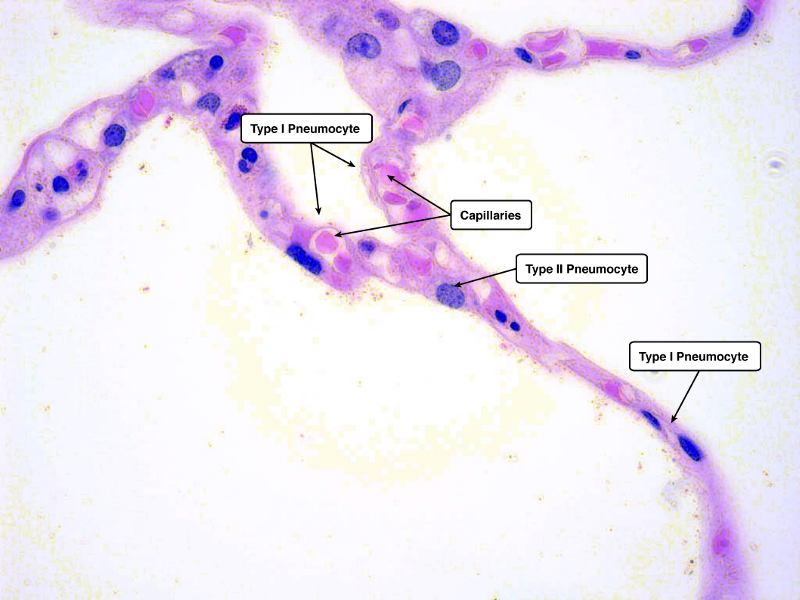
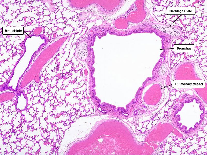
Trace the air flow of respiratory system starting with the nostrils.

What path does a molecule of oxygen take to reach the blood?

What sights will it see along the way?

  1. Outside air
  2. ??
  3. ...
  4. Toes
Path of O2
  • List complete
  • With layers
  • And cells
  • And function of each
  • By studying and labelling images
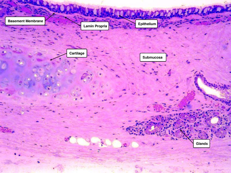
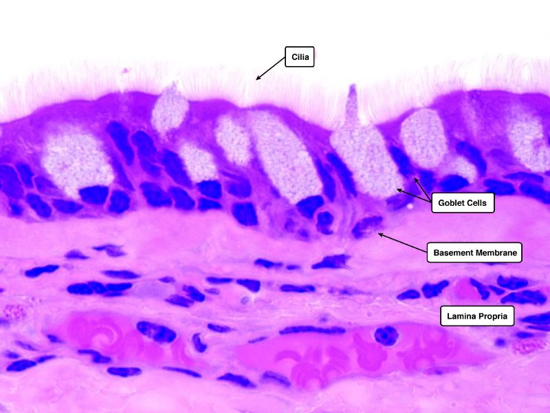
Identify and describe the epithelium on the following slide:
Pseudostratified columnar epithelium

What cells are present?

Pseudostratified columnar epithelium

  • Goblet cells
  • Basal cells
  • Ciliated columnar cells
  • Unciliated columnar cells

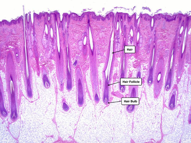
Skin

Consider a needle penetrating skin.

Describe the layers.
Up to and including the vein.

List the layers

Which layers of cells are penetrated?
What do they look like?
What is the function of each layer?
What is the function of each type of cell?

The End

Save Document

  1. Click the link above
  2. Print to PDF

Works best using Google Chrome
Others Browser YMMV