Mammary gland and Nipple

Help

  • esc key shows all the slides
  • arrows left right advance the slide
  • mobile device swipe left right
  • slides can go left-right and up-down
  • ? gives instant help
  • menu bottom left
To save as PDF, see last slide.
How to get the most from the revision slides
  • Have a pen & paper ready
  • Answer every question
  • Attempt to label all slides
  • Mark your answer after answering
  • Elaborate on each answer
  • Add relevant clinical content
  • If you have trouble, ask - you know where

Calibration

Community of Truth

What is my answer?
What is the correct answer?
I am am wrong, what was my error?
THUS: Find the truth

Philosophy 1

What is the least amount of work I can do so I can get out of here.

Philosophy 2

Today and Now I will do something for my future self.

Retrieval

Rules

Rules

  • Ink
  • Best Effort
  • No consultation
  • Do not look up the answers

Please note: Answer slides follow each question

Calibration

Assess yourself on each question.

You want incremental improvements over time.
Going up

Assess yourself
Nailed it!
Yes
Not sure...
No
Nailed it!
Not sure...

Q01: Terminology

On the next slide, a set of 16 terms will be listed. For each term, mark YES if you know or recognise the term, NO if you don't know the term.

Yes = I know or recognise the term

No = I have no idea at all

Q01: Yes or No

1. Lumen
2. Low Density Lipoprotein
3. Endothelium
4. Intima
5. Extracellular matrix
6. Monocyte
7. Macrophage
8. Apoptosis
9. Necrosis
10. Hypertension
11. Arterial wall
12. Smoking
13. Diabetes
14. Smooth muscle cell
15. Plaque
16. Thrombus

Q01: Yes or No

1. Lumen
2. Low Density Lipoprotein
3. Endothelium
4. Intima
5. Extracellular matrix
6. Monocyte
7. Macrophage
8. Apoptosis
9. Necrosis
10. Hypertension
11. Arterial wall
12. Smoking
13. Diabetes
14. Smooth muscle cell
15. Plaque
16. Thrombus

9 of 16 = histology
7 of 16 = commonly occuring

Will we ever need to look at slides?

The practical supplies the visual side of the "theoretical" component, and should not be seen as 2 separate topics that should be studied as 2 "subjects".

The slides should be used to expand on your lecture.

Histology forms the basis for many clinical situations. Lacking the histology, will mean that you will struggle mastering other fields.

Q02:

True/False

I am susceptible to breast cancer.

Q02:

True for everyone

Both women AND men are susceptible to breast cancer.

Breast cancer

Of all diagnosed breast cancers:
  • Women 99%
  • Men 1 % (SA = one of the highest in the world)
  • 2nd most common type
  • 1st = non-melanoma skin cancer
Breast cancer
Cervical cancer
Colorectal cancer
Uterine cancer
Lung cancer
Prostate cancer
Colo-rectal cancer
Lung cancer
Kaposi sarcoma
Bladder cancer
Testicular cancer

For more information

Cancer Association of South Africa (CANSA):
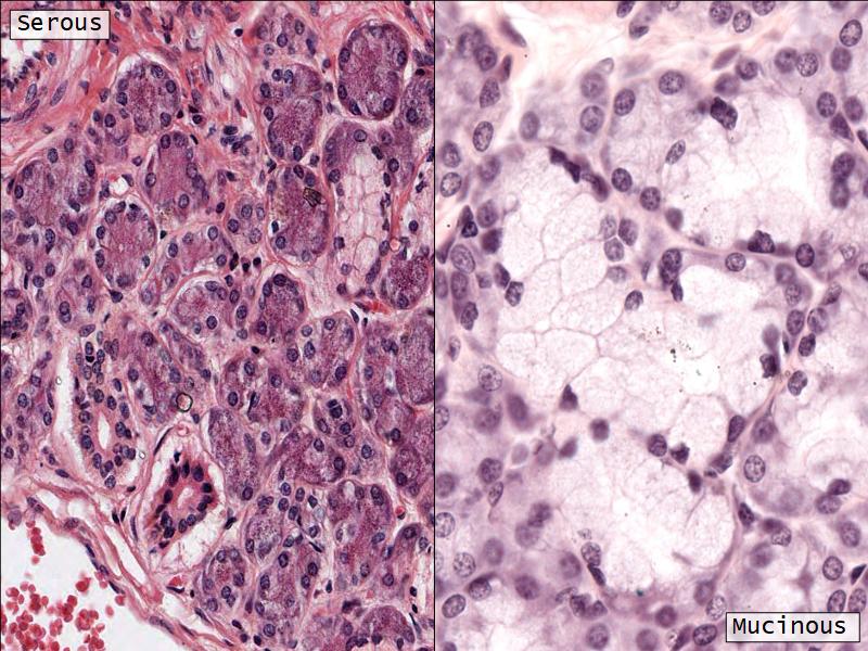
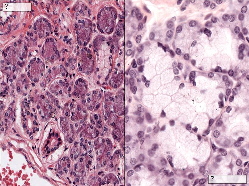
List 2 types of exocrine secretions.

Q03 - 1

List 2 types of exocrine secretions:

  • Serous
  • Mucinous

Image sources

Mucinous and serous secretory units from the Virtual Microscopy Database at http://virtualmicroscopydatabase.org/

Title: Salivary Gland, Sublingual, Human

Title: Submandibular Gland

Owner: H Goldman

Drexel University - Collection Gastrointestinal System

Used under the BY-SA-NC Creative Commons License

Q03 - 2

List 3 ways substances are secreted from cells.

Q03 - 2

List 3 ways substances are secreted from cells.

  • Merocrine
  • Apocrine
  • Holocrine

Q03 - 3

What epithelium are associated with ducts?

Q03 - 3

What epithelium are associated with ducts?

Cuboidal epithelium

Q06: Epithelium

  1. Is bordered by a ______.
  2. Rests on a ______.

Q06: Epithelium

  • Is bordered by a lumen.
  • Rests on a basement membrane.

Slides

  • Mammary gland - slide 57
  • Nipple - slide 15

Mammary gland

Write short notes describing the structure of the mammary gland.

(5)

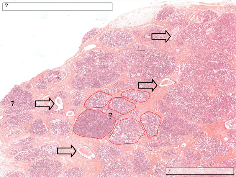
Mammary gland

  • Compound tubuloalveolar gland
  • 12 - 20 glands
  • Each with own lactiferous duct
  • Each with own lactiferous sinus
  • Opens on skin at apex of nipple

Two stages

  • Resting
  • Active

Resting and active

Describe the resting mammary gland and compare with the active gland.

(8)

Resting gland

  • Connective tissue dominate
  • More adipose tissue
  • Glandular tissue reduced

Active gland

  • Terminal ducts expand
  • Forms alveoli
  • Connective tissue reduced
  • Adipose tissue reduced
  • Glandular tissue dominate

Structures

List the structures and cells found in the mammary gland.

Structures

  • Lactiferous sinuses
    • Stratified squamous near opening on skin
    • Stratified cuboidal other parts
  • Lactiferous ducts
    • Stratified cuboidal
  • Myoepithelial cells
    • Underlie lactiferous ducts in most areas
    • Basal lamina
    • Separate epithelial components from stroma

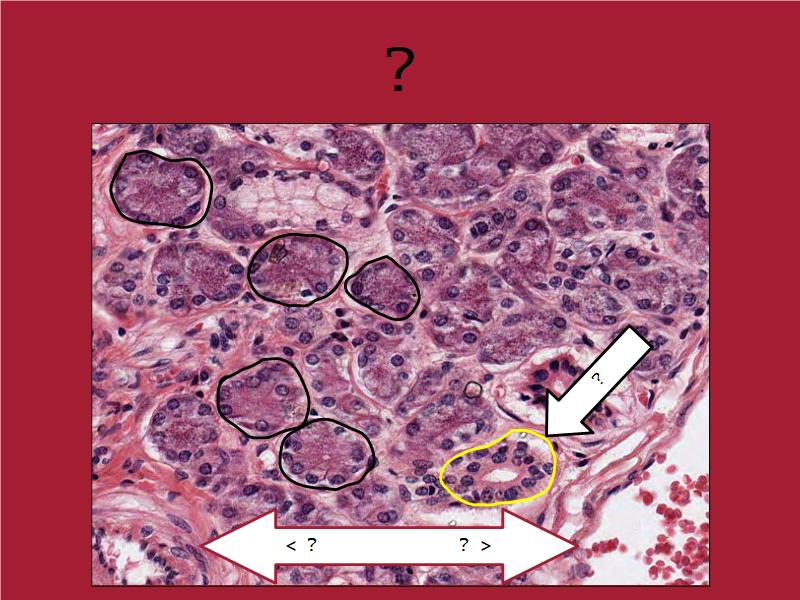
Active gland

  • Much larger than resting phase
    • Terminal ducts proliferate to form alveoli
  • Alveoli
    • Surrounded by incomplete myoepithelial cells

Alveolar cells

  • Apocrine secretion
  • Active state
  • Resting state

Morphology

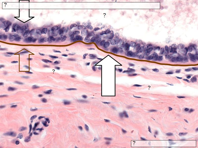
What are the main morphological features of the nipple?

(4)

Morphology

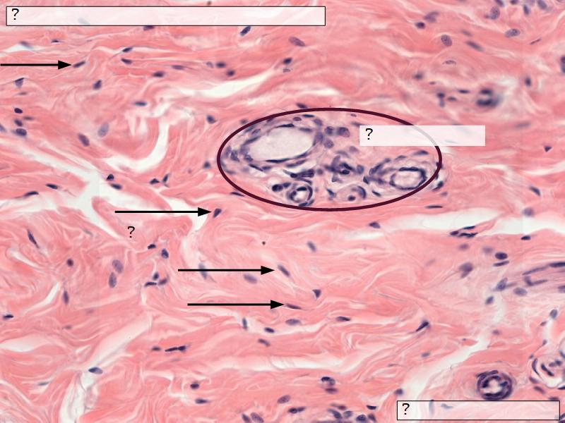
  • Covered with skin
  • Consists of dense collagenous connective tissue
  • Interlaced with smooth muscle fibres
  • Contains openings of lactiferous ducts

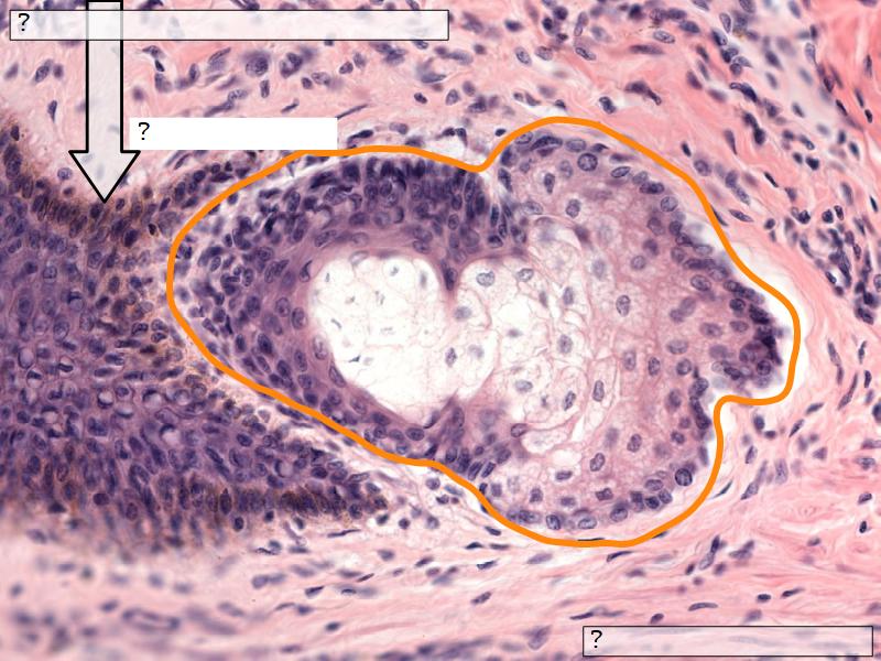
Skin

  • Keratinized stratified squamous epithelium
  • Sebaceous glands

Stroma

  • Collagenous connective tissue
    • Irregular dense connective tissue
  • Smooth muscle
    • Fibres and bundles
  • Lactiferous sinusses
    • Stratified cuboidal epithelium

Administration

Psst: Go Down

V

Block 8

5 sessions

    • Mammary gland and nipple
    • Oral cavity
    • Alimentary canal
    • Glands
    • Summary

Histology Framework

On or before 27 March

Supply a clinically related histology question for each of the five framework areas for this week's topic. Drop off in box at my office.

Completion

  • You can work ahead
  • On all GIT slides
  • You need to show me work BEFORE the last practical
  • Contact me if you're stuck

The End

Save Document

  1. Click the link above
  2. Print to PDF

Works best using Google Chrome
Others Browser YMMV